Lake Country Family Dental Gallery
• Family Oriented
• New Patients Always Welcome
• Emergency Services Available
• 40+ Years of Experience
Before-and-After Photos Featuring Our Services
To get an idea of the range of procedures available from Lake Country Family Dental, please check out the photos below. Count on us for compassionate dental care for the entire family. Call for a complimentary consultation today.
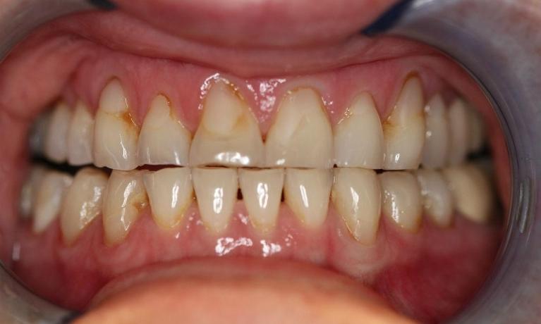
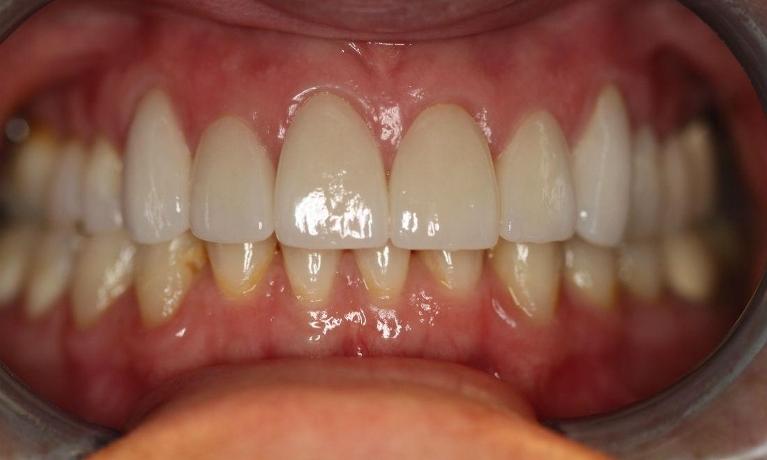
Porcelain Fused to Zirconium Crowns
This 50-year-old female came to us with many older fillings and excessive wear on her upper front teeth. Due to her medications, she constantly had a dry mouth, which caused multiple areas of decay in her teeth. We were able to control her dry mouth with a special prescription toothpaste and better oral hygiene techniques. Finally, her six upper front teeth were restored with porcelain fused to zirconium crowns using no metal. She was elated to tears with her beautiful and youthful-looking smile!
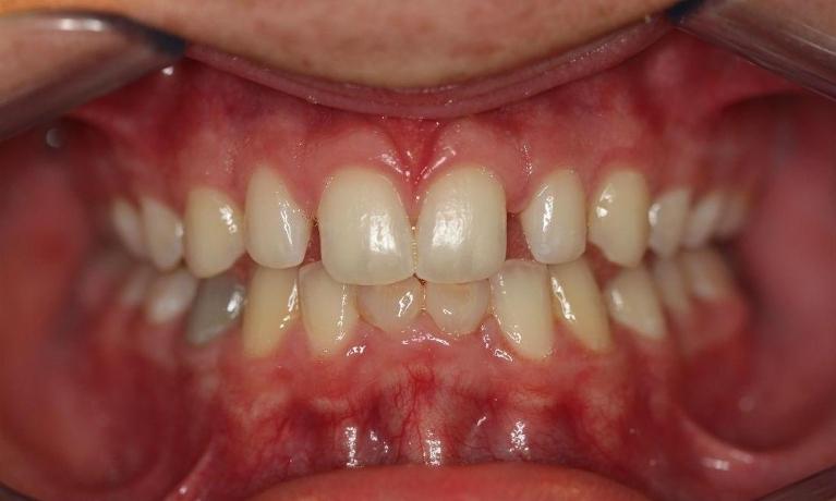
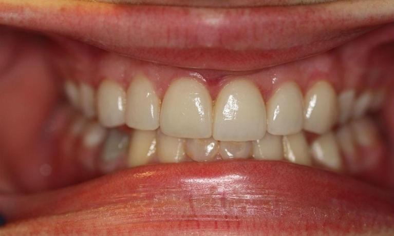
All-Zirconium Crowns
This 78-year-old male had severely worn and broken-down teeth. He wanted whiter teeth that showed when he smiled. Together, we decided to use all-zirconium crowns, which are extremely strong, esthetic, and contain no metal. First, zirconium crowns were placed on his upper front teeth (except for the one existing crown). Next, six new zirconium crowns were made for the lower teeth to match the bite on his upper teeth. The very happy gentleman now smiles all the time and is planning to have the one old, darker, upper front crown replaced to match the rest.
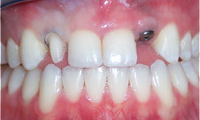
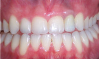
Implant Crowns and Veneers
A 19-year-old female was missing one of her front teeth since birth and the other front tooth was misshaped. Orthodontics maintained the space for a replacement tooth until permanent treatment could be instituted. An implant with a procelain crown was recommended for the missing tooth and a porcelain veneer for the misshaped tooth. Whitening was completed first to establish a fresh youthful smile for the young lady. The porcelain veneer was cemented to the misshaped tooth while the implant/replacement tooth was a joint venture between our office and the oral surgeons.





















Share On: