Modern Solutions for Repairing Teeth
Take advantage of Lake Country Family Dental’s 40+ years of experience for modern care for broken and missing teeth. We offer highly aesthetic solutions to repair teeth and fill the gaps left by tooth loss, including single-visit ceramic crowns and dental bridges. With our professional assistance, you can eat the foods you love and smile with confidence!
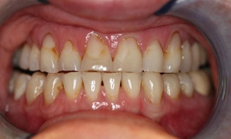
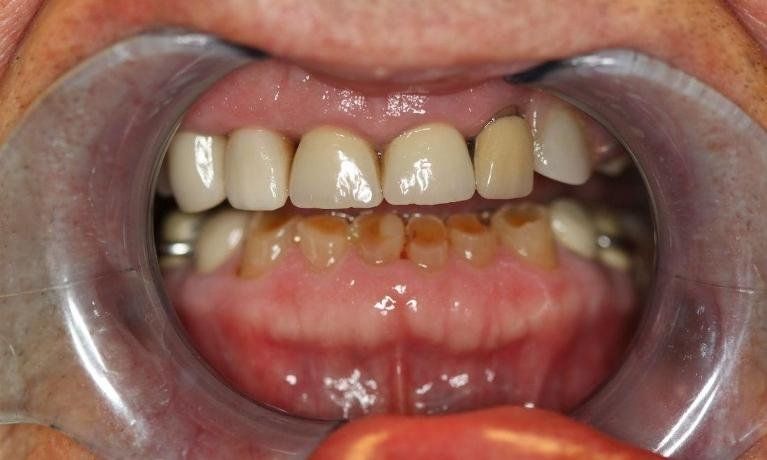
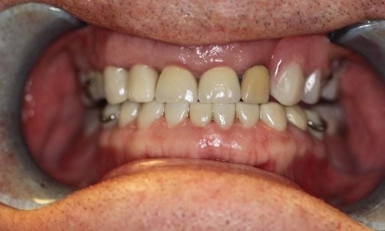
Crowns and bridges are restorations that correct dental problems while protecting and strengthening your teeth. A dental crown is custom-made to fit over a damaged natural tooth. It restores the function of the tooth and provides strength and support.
Crowns and bridges are usually made of porcelain or zirconium because of their natural appearance and durability.
We use iTero scanning for accurate crown replacement.
Call today for a complimentary consultation. Emergency services are available.
Crown and Bridge Applications
Are you troubled by a damaged or missing tooth? Dental crowns have many applications and can be used to correct a number of problems:
- Broken fillings
- Fractured or broken teeth
- Large, unattractive fillings
- Severely decayed teeth
- Teeth weakened by root canal therapy
A dental bridge is used to fill the space left by a missing tooth. The bridge is made as a single unit that’s held in place by crowns on the adjacent teeth. A dental bridge not only improves your appearance but also prevents surrounding teeth from shifting into the open space, which can lead to unhealthy bite relationships and
TMJ problems.
Placing a Crown or Bridge
A dental crown or bridge can usually be placed in two visits. First, we prepare your natural tooth to receive the restoration. Then we take impressions of your teeth. The impressions are sent to a special dental lab (which usually takes two weeks). After that time, a return visit to our office is scheduled to remove the temporary crown or bridge and place the porcelain restoration.
With proper homecare, your new restoration will last for many years to come.
Crown and Bridge Gallery
To see more examples of our crown and bridge services, visit the gallery page.









Share On: